免疫细胞治疗之肺癌
taptap点点官网
2023-05-10 14:25:52发布
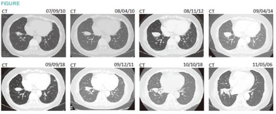
68岁女性,诊断时胸膜播种、对策纵隔淋巴结转移,cT4N3M0、Stage IIIb期肺癌。经小半年CBDCA+PTX联合化疗治疗后停止化疗,1次αβT细胞治疗后仍然进展,改用γδT细胞多次治疗后维持了3年以上。

中途CEA升高,仅用了2次单药化疗。

我们首次提到γδT细胞疗法。抗肿瘤机制很复杂,省略。本身期待这个疗法对骨转移和多发性骨髓瘤的效果,然而,研究和临床使用者都很少。且使用过双磷酸盐的患者就无法培养出有活性的γδT细胞。用过的人实在少。
上一篇
趋势抵抗前列腺癌的免疫细胞治疗
这个案例是15年前的,当时治疗方法有限,简单点说。68岁男性,确诊时骨转移、主动脉淋巴结转移。内分泌治疗维持一段时间后PSA上升→评......
下一篇
免疫细胞治疗之晚期非小细胞肺癌
72岁男性,并存多种疾病,确诊肺癌时晚期。经过化疗和细胞疗法交替使用,维持时间较长。详细过程省略了,看图吧。这个案例提到一个新概念。......
