日本专家实例呼吁:不要忽视肠镜检查前的影像检查

西野徳之
脑神经疾病研究所附属综合南东北病院消化系统中心主任
日本消化器官疾病学会指导医师
日本消化器官内窥镜学会指导医师
日本胆道学会指导医师
结肠由于结肠癌等原因肠腔变狭窄,宿便积蓄导致肠内压力增高,到了几乎要破裂的状态。我称这个状态为“即将爆发”。但是,即使到了这个状态,患者还只是觉得“肚子有点胀”,“便秘”,并以此原因就医。大多数情况下,患者没有做影像检查(腹部x光检查)就直接做肠镜检查了。这可能会由于肠镜检查前肠道准备药物引发肠管压力增高,导致肠破裂或穿孔。
结合近期 「日本医疗事故调查·支持中心」 发布的《与肠镜检查前肠道准备相关的死亡事故分析》的报告,我们来谈谈这些事故带给我们的警示吧。
基于12例死亡事故的提议
「日本医疗事故调查·支持中心」会根据该中心收集的病例,定期公布死亡事故的分析,以及基于事故提出的建议。
基于肠镜检查前的肠道准备致死事故的分析,该中心提出了以下5个建议。
医疗事故调查・支援中心的提议(摘要)
【风险意识】
○ 建议1
口服肠道准备药物(泻药/洗肠剂)可能有导致肠道压力急剧上升,引起肠穿孔而死亡的风险。
【肠镜检查的适应范围】
○ 建议2《肠道功能障碍的评估和处置》
根据患者日常的排便,用药,以及腹部手术史,以及患者的理解能力等情况,评估患者是否存在肠道功能障碍。在充分考虑后慎重判断适应性。
○ 建议3《远端结肠狭窄的对策》
如果怀疑乙状结肠至直肠间存在狭窄,可能因肠道准备导致肠梗阻和肠穿孔,首先,通过直肠指诊,X线检查,腹部/盆腔CT检查等确认是否存在肠梗阻。
【观察和判断】
○ 建议4《清肠前》
如果服用泻药后仍无便意,考虑肠道功能障碍,必要时进行腹部X线检查,再判断是否可以使用清肠药物。
○ 建议5《清肠后》
服用清肠药物后仍无便意,并出现腹痛,呕吐,发冷等症状,务必立即停药并就医。必要时进行影像检查,判断是否存在肠梗阻或肠穿孔。
建议书中提到,肠镜检查前肠道准备事故已经导致12人死亡。其中3例在服用泻药后死亡,9例在洗肠后死亡。案例概述如下。
死亡案例概要
年龄:50~80岁
检查目的:怀疑结直肠肿瘤,出现便秘,排便出血,大便隐血阳性,肿瘤标志物升高,排便困难,水样粪便
死亡原因:肠梗阻导致败血性休克,穿孔性腹膜炎,粪便性肠梗阻,急性呼吸衰竭,吞咽困难导致气管阻塞,多器官衰竭等。
肠道压力增高导致的肠闭塞,肠道穿孔,败血症等占据了死亡病例的大部分。另外,泻药、清肠药等刺激引起的肠管蠕动亢进,或水分移动到肠道,导致血管内脱水,引起循环障碍导致的死亡有2例。另外,肠道通过障碍引发呕吐,吞咽苦难导致肺炎引发死亡事件1例。
报告结尾处列出了在肠镜检查前可能导致死亡的一些自查项目,能想到的所有内容都已经罗列进去了。虽然在实际临床环境中很难向所有的患者确认这些内容。但是防患于未然,希望大家具备这些意识和知识后进行肠镜检查。即使不是消化内科的专科医生,也可能开具肠镜检查,以及肠道准备药物。因此,这些内容希望初级保健医生们也都要知道。
便秘指南中也需要“排除器质性疾病”的提议
便秘导致的肠道破裂(肠穿孔,粪性穿孔),是由于粪便积聚,产生压力,导致肠道壁供血不足。
因为患者诉说的症状并不总是准确的病状,必须小心。例如,“没有排便”不一定就是便秘。慢性腹泻的患者也有可能是晚期直肠癌。对于晚期直肠癌患者来说,由于肠道处于肠闭塞前状态,是绝对禁止服用清肠药物的。需要影像检查预防危险发生。
做CT检查也可以,但是实际上全部肠道的CT检查是非常困难的。其实只要做腹部X线检查即可。如果出现由于粪便停滞导致结肠扩张,可能是宿便型穿孔,也可能是晚期结肠癌导致的肠闭塞。因此,肠镜检查前需要做腹部X线检查,以确认宿便是否太多,肠道是否过度扩张等。
根据2017年发布的《慢性便秘的诊疗指南》,便秘被定义为“不能充分,顺利,舒适地将粪便排出体外的情况”。但是,这个定义的前提是,“排除结肠癌等器质性病变”。也就是说,不能仅通过问诊简单判断是否便秘。“便秘,做个肠镜俺看”,“大便出血,做个肠镜看看”等,不能仅以此类原因进行检查。如果认为自己有便秘,请务必通过腹部X线检查来确定。否则,早晚会出现 “当初要是提前拍个片子就好了”的情况。
例1:肠镜前开泻药
我们先看一个虽然未导致死亡,但在是肠镜检查前肠道处理过程中险些出事故的病例。
案例1——30多岁女性。腹痛
因白塞病于皮肤科住院的患者。因出现腹痛症状,患者希望通过肠镜检查是否合并肠道病变。腹部X线检查显示,粪便潴留于整个结肠,「便秘」,开了泻药。2周后便秘得到改善,1个月后进行了肠镜检查。

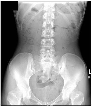
腹部X线检查(俯卧)
体型偏瘦。大便中有空气,可推断粪便停滞。从盲肠到横结肠,降结肠,乙状结肠,直肠,以及直肠到结肠部分都有粪便停滞。诊断宿便过多。
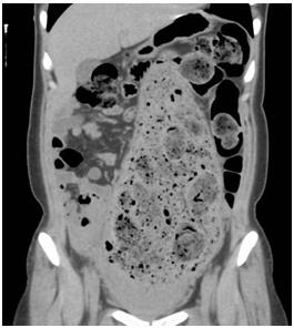
检查当天,患者在服用1.5L复方聚乙二醇电解质散(复方制剂,由聚乙二醇4000、无水硫酸钠、氯化钠、氯化钾、碳酸氢钠组成)后仍然没有排便,停止服药。无疼痛,实施甘油灌肠。但只是排液,仍无排便。以下为CT 检查照片(照片2)。硬便下降至乙状结肠和直肠,且1.5L的洗肠液也停滞于该处。(照片3和4)
照片2:普通CT 照片

腹部全体发白。由于1.5L肠道准备药物停滞肠内,无法看见肝下缘,肾阴影,肠腰筋。看似腹水。横结肠中有少量气体。盆腔正中存在硬便和裂缝状气体。
照片3:腹部CT 照片,轴向图像,上腹部

肠道内堆积肠道准备药物明显。肾脏前为升结肠,当中是横结肠。
照片4:腹部CT 照片,轴向图像,盆腔

盆腔左边的降结肠中含气体,看似软便。腹壁中间为乙状结肠,发白,水分较少,犹如石块。仙骨前面的直肠存在类似兔子粪便样的小结石状粪便。
此情况下紧急进行了内镜检查。在直肠中便分离粪便,边推行至乙状结肠,将最里面的洗肠液吸出,降低肠道压力。虽然最后解决了问题,但是如果当时初诊时发现严重便秘状态,未实施腹部X线检查而直接实施肠镜的话会怎么样呢?也许会引起肠穿孔,继而进行急诊手术。更有甚者,可能因医疗事故被起诉。
例2 ——大便呈茧状
我们:从腹部X 线照片中可以清晰地看出这是很严重的便秘患者。虽然该患者并未打算进行肠镜检查,对于患者提出的大便干燥的诉求,进行了腹部X 线检查。
此时,不要轻易为患者开具便秘药物,也不要安排肠镜检查。开药和做检查,必须在全面了解患者状况后才能实施。这点非常重要。
病例2—— 20多岁女性,2周未排便
患者诉求:2周未排便。一个月前刚生产。无腹痛。进行了腹部X线检查(照片5)
腹中大便呈巨大茧状。
照片5:腹部X 线照片(卧位)

腹部正中间,从盆腔到横隔膜近傍位置有占位。横结肠内部有气体。“蝉蛹”左侧有颗粒状大便。是乙状结肠便。
一个月前刚刚生产,与生产部位完全吻合的巨大粪便块。马上进行了腹部CT 检查。
照片6:腹部CT

乙状结肠出现明显扩张,2周的粪便镶嵌其中。乙状结肠上部将肝下方,胃和横结肠向上方挤压,左侧乙状结肠下方可确认内腔积蓄圆形粪便和气体。
通常,结肠直径超过10cm后压力差可能穿破肠壁。本病例中,结肠已经超负荷扩张。实际上,患者的肠道长时间扩张,因没有基础疾病,被诊断为慢性假性肠闭塞症。可能导致肠道肠肌神经丛或粘膜下神经丛的功能障碍。
像这种「即将爆发」 必须迅速进行肠道减压。便秘药物非速效药物,需要住院治疗,不可仅开药处理。
在护士的帮助下,甘油灌肠,除便,低压灌肠,除便,重复10次左右,耗时5小时后,患者排出大量粪便,腹部恢复扁平状态。在医生的指导下,拿了通便药回家。
因此,我们建议:在患者通便异常时,首先进行简单的腹部X线照射检查。尤其是在进行肠镜检查前,有必要养成进行腹部X线检查的习惯。
