为什么全身化疗是晚期肺癌的主要治疗方法
taptap点点官网
2022-03-04 09:46:34发布
在非小细胞肺癌患者中,相对于早期肺癌而言,晚期肺癌患者均出现了不同程度的淋巴结、胸腔或远处转移,手术已不能完全切除体内的肺癌病灶。而全身的化疗是将化疗药物通过血管注入体内,经过血液循环,化疗药物可到达体内绝大多数的部位,可以对肺癌原发病灶、肺癌局部浸润组织、局部转移淋巴结及全身转移灶等产生疗效,因而,化疗是晚期非小细胞肺癌的主要治疗方法之一。需要指出的是,即使是晚期的非小细胞肺癌,也并非说绝对不适合接受手术治疗,例如有观点认为,当病灶较大且较易切除时,若通过相对微创的手术切除病灶,以减轻体内的癌负荷,即癌细胞的量,却不严重影响患者的体能状态或延误化疗时机,手术治疗也是可选的。

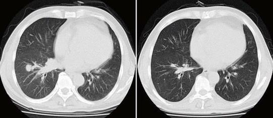
小细胞肺癌化疗后病灶消失
对于小细胞肺癌的患者来说,由于小细胞肺癌具有易转移、对化疗的短期有效率较好的特点,所以不论病情是早期还是晚期,化疗均是其主要的治疗方法。
上一篇
何谓“术后辅助化疗”?
在手术治疗之后开展的化疗称为术后辅助化疗。术后辅助化疗的作用主要有三点:首先,在手术之后给予若干疗程的化疗,可以杀灭或抑制在手术后......
下一篇
常用于肺癌化疗的药物有哪些
临床上用于肺癌化疗的药物种类很多,根据来源及作用机制的不同,传统上主要将化疗药物分为以下几大类:(1)抗代谢类: 此类药物是最早被发......
