胸部CT在肺癌的诊断上有哪些优缺点?
taptap点点官网
2022-02-28 09:52:43发布
CT的全称是计算机辅助断层扫描,其工作的原理是在计算机的帮助下,把X线扫描人体后所得的图像按设定的厚度间隔进行图像重建,医生就可以从上到下逐层观察每一部分人体组织是否存在病变。从功能角度看,类似于将一个红薯切成很多片,然后翻看每一层红薯片中是否有腐烂或坏点。至于究竟需要间隔多厚“切”一刀,是有具体标准的。一般情况下是每1厘米或0.7厘米扫描一层,某些情况下,需要进行0.5厘米或更薄层的扫描,以避免漏诊极其微小的病灶,即所谓薄层CT扫描。

先进的256排螺旋CT机
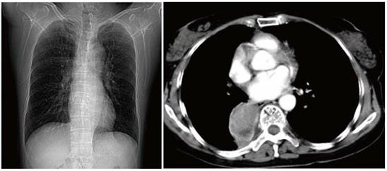
对于肺癌病灶的发现和特点的观察,胸部CT检查是较胸片更为先进的一种影像学检查方法。相较胸片而言,胸部CT可以发现正位胸片所难以发现的心脏后部病灶;同时,胸部CT检查可以使得直径小于1厘米的小结节肺癌病灶不易被漏诊;另外,胸部CT有助于医生判断肺部病灶的特点,例如病灶的外周是否光整,是否有毛刺,是否有分叶,病灶的内部是否有空洞,是否有钙化,病灶的周围是否有卫星结节等,这些特征的有无对于判断病灶的良、恶性,甚至是哪一种病因、哪一种类型,都是非常有帮助的。
胸部CT发现了胸部正位片难以发现的位于心脏后部的病灶

当然,胸部CT检查也有一些不足之处,例如其费用相对较高,受检者接受的放射线辐射的剂量要大一些。近年来,国内部分大型医疗机构已经配备了先进的多排螺旋CT,在提高检查图片质量的同时,相较普通胸片检查并未明显增加受检者所接受的放射线辐射剂量。

先进的CT技术“重建”出肺癌肿块的细微特征
上一篇
何谓肺癌相关血清肿瘤标志物?
所谓肺癌相关血清肿瘤标志物,是指对肺癌的诊断、疗效判断、预后(生存期)判断具有提示意义的血清指标。首先,如果某些血清肿瘤标志物的数值......
下一篇
肺癌可能有哪些早期的“蛛丝马迹”?
在肺癌发生时,即使在很早期,由于体内内分泌等因素的改变,可出现一些蛛丝马迹,这些蛛丝马迹极易被忽视,而如果能及早发现、认识这些蛛丝......
