什么是支气管镜检查?
taptap点点官网
2022-03-02 10:31:33发布
支气管镜检查的原理是将一根下端安装有取相或摄像装置的较细管性结构(支气管镜),通过受检者的鼻腔或口腔插入到肺内的各级支气管,通过上端的观察窗口或通过与操作手柄用视频线连接的电脑显示器,来观察深入肺内的支气管内的病变情况。一旦发现可疑病变,可以通过支气管内的中空通道插入活检装置,钳取可疑病变组织送病理学检查。

支气管镜的外观

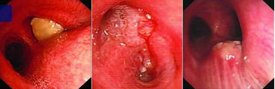
支气管镜检查发现生长于气管、支气管内的肺癌

支气管镜检查可以全面观察支气管内的病变
对于可以进行根治性切除手术的肺癌患者,在手术前为了明确病灶在气管内侵犯的确切范围,在手术后为了复查气管内切除残端的病变情况,均需要做支气管镜检查;对于没有手术切除机会,由CT判断病灶生长于较大的中央气管的肺癌患者,为获取病变组织进行病理诊断,也需要做支气管镜检查。
肺癌是起源于支气管上皮的癌症,全名其实叫“支气管肺癌”。所以理论上讲,只要支气管镜足够细,就可以看到生长在各段支气管内的肺癌。但由于受到技术水平的限制,目前支气管镜只能到达相对较粗的支气管,尽管如此,支气管镜检查在肺癌诊断中的地位仍然是举足轻重的,每一个没有禁忌证的肺癌待诊患者都应该尽可能做支气管镜检查。

支气管镜鉴别出“酷似”肿瘤的病变——被误吸入肺的食物
另外,支气管镜还可以鉴别诊断出一些容易被误诊为肺癌的病灶,如支气管内异物、支气管内良性肿瘤等。通过支气管镜将上述情况鉴别出来,可以避免患者进一步误诊、误治。
上一篇
什么是内科胸腔镜检查术?
我国于20世纪七八十年代开始应用胸腔镜检查术,经过数十年不断发展和完善,这一检查技术现已非常普及。胸腔镜检查由于观察视野清晰,可直视......
下一篇
什么是“荧光支气管镜”检查?
所谓荧光支气管镜,是一种新型的诊断用支气管镜,是指在做支气管镜检查时,直接以荧光照射支气管内黏膜,根据不同性质的病灶所放射出的荧光......
