-
日本乳腺癌的三维治疗策略
乳腺癌发生率在亚洲女性癌症中排名第一,taptap点点官网的医学小编给大家介绍下日本的治疗经验,希望患者能从一开... -
SABCS乳腺癌治疗新研究、新动向,一定不要错过!
2019年国际乳腺癌重量级学术活动的收官之作——第42届圣安东尼奥乳腺癌研讨会(SABCS)于12月10日-14日在美国盛... -
ASCO2019报道:联合margetuximab和化疗可改善HER2阳性晚期乳腺癌的总生存期
加利福尼亚大学旧金山分校的Helen Diller Family Comprehensive Cancer Center公布了一项抗HER2阳性抗体... -
Luminal B型乳腺癌术前使用瑞博西尼+来曲唑方案与化疗效果相同
12月中旬在美国举行的乳腺癌研讨会SABCS2019上,西班牙专家Joaquin Gavila公布了试验结果,SOLTI-1402 C... -
SABCS2019报道——HER2阳性晚期乳腺癌的新TKI药物
近日在美国圣安东尼奥举行的圣安东尼奥乳腺癌研讨会(SABCS2019)上,美国MD安德森癌症中心的Rashmi Murthy公布... -
新靶向药物CDK4/6抑制剂和PARP抑制剂使激素受体阳性乳腺癌的治疗更为高效
2019年7月于东京举行的日本乳腺癌学会第27届年会上,日本国立癌症中心东病院的肿瘤学及乳腺专科的内藤洋教授做... -
细胞毒性T细胞能否成为长寿的关键
日本理研综合医学中心(IMS)和庆应义塾大学医学院的科学家使用单细胞RNA分析后发现超百岁老人(即110岁以上的人)... -
通过阻断MR1的癌症免疫治疗
研究人员发现了潜在的癌症免疫疗法新靶标,其中涉及关闭调节细胞以阻止肿瘤的生长和扩散,该研究结果已于美国... -
癌症恶病质的治疗-药物治疗取得良好效果
日本国立癌症中心东病院肝胆胰内科主任三永修一博士_ 癌症恶液质的发病机制_ 明确恶液质的诊断标准_ 药物疗... -
海外医讯 | 新药图卡替尼给晚期乳腺癌患者带来希望
2019年12月11日在圣安东尼奥乳腺癌专题讨论会和《新英格兰医学杂志》上披露,在患有侵略性乳腺癌的女性中使用... -
关于酒精和癌症,您可能不知道的10件事
我们经常被问到有关酒精和癌症的一些常见问题,让我们从酒精的常识,到民间流行的关于癌症治疗的各种传闻,来... -
2019,基因治疗实现突破的一年
维多利亚·格雷(VictoriaGray)的血被抽出,以便医生可以找到导致她患病的原因:骨髓中的干细胞正在制造变形的... -
海外医讯 | 美国医师协会(ACP)发布大肠癌筛查指南
美国医师学会(ACP)2019年11月发表于内科学年鉴的一项新的循证指南声明中指出,内科医师应筛查50岁至75岁之间没... -
好莱坞明星成“肠镜代言人” ,但没想到,首次检查就发现癌前病变......
一定要确保我们健康 威尔·史密斯(Will Smith)分享了结肠镜检查和17分钟视频威尔·史密斯(WillSmith)向世... -
凯斯西储大学:使用人工智能确定免疫疗法是否有效
图片来源:凯斯西储大学免疫检查点抑制剂治疗前后的CT放射线模式差异的说明,同样发现在诊断活检中,在无反应... -
麻省理工学院:识别引发某些过敏或感染的T细胞
麻省理工学院的研究人员开发了一种分离与不同靶标结合的T细胞,并对其RNA进行测序的方法。当您的免疫系统接触... -
基因编辑的T细胞如何对抗癌症
伪彩色扫描电子显微照片显示两个T细胞(红色)攻击癌细胞(白色)。研究人员正在通过编辑T细胞内的基因来创造更强... -
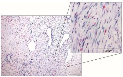
名古屋大学:已经确定胰腺癌中存在抑制癌细胞的细胞
原位杂交数据显示人胰腺癌中Meflin阳性成纤维细胞(品红色)和-阴性成纤维细胞(绿色)的浸润。来源:水谷靖行名古... -
美国心脏学会:心脏疾病或与癌症密切相关
麻省总医院的研究人员将会在2019年美国心脏协会会议上,报告其最新研究成果,心脏病幸存者罹患癌症的风险与未... -
对免疫疗法有反应的侵袭性乳腺癌
UNC Lineberger的Charles M Perou博士北卡罗莱纳州大学(UNC)Lineberger大学综合癌症中心的研究人员发现了...
